日帰り白内障手術
1.白内障基礎知識

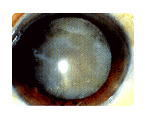
正常な水晶体は透明で、光をよく通します。しかし、さまざまな原因で水晶体の中身のたんぱく質が変性して濁ってくることがあります。これが“白内障”です。
水晶体が濁ると、光がうまく通過できなくなったり、光が乱反射して網膜に鮮明な像が結べなくなり、視力が低下します。
白内障の種類と原因
- 加齢性白内障 … 加齢(歳をとること)
- 全身疾患に合併する白内障 … アトピー性皮膚炎、糖尿病など
- 先天性白内障 … 風疹など
- 外傷性白内障 … 目のケガなど
- 併発白内障 … ぶどう膜炎など
- その他 … 放射線、薬剤(ステロイド剤)
白内障の症状
- かすんで見える
- ぼやけて見える
- 眩しくなる
- 暗い所で見えにくい
- 近視化する(屈折力が増加)
- 二重、三重に見える
白内障が軽度で、あまり視力に影響がない場合は、点眼薬で進行を予防します。定期的に通院して頂き白内障の進行の予防や合併症のチェックを行っていきます。進行した場合に手術を考慮します。
2.白内障手術合併症
≪術中合併症≫
・創口熱傷
傷口の接着が不良になり、縫合の必要が出てきます。術後創部接着不良の場合には追加縫合する必要があります。その結果乱視が誘発されることがあります。
・不連続環状嚢切開
これは水晶体の前面を円形に切り取る際に、亀裂が入ったり大きくなりすぎたりすることで、その結果、眼内レンズが中央に位置できなくなったり、術後に眼内レンズが飛び出してくる可能性が出てきます。
・後嚢破損
水晶体の後ろの膜が破れてしまうことです。これが起きると水晶体の核や皮質が硝子体中に落下し、術後飛蚊症の原因になったり術後黄斑浮腫になったり、眼内炎のリスクが上がったり、増殖硝子体網膜症の原因になったりします。
・虹彩・毛様体損傷
術中に目の中に入れている器械が眼の中の虹彩に接触したり吸引したりすることで、虹彩を損傷したり、ひどい場合には虹彩が断裂し、その裏にある毛様体まで損傷することがあります。
・チン小帯断裂
水晶体を360度にわたって吊っている組織がチン氏帯で、落屑症候群の方や、ご高齢の方程、チン氏帯が脆弱になっており、術中に断裂することで、眼内レンズを嚢内固定できなくなったり、前部硝子体手術を追加しなくてはならない場合があり、予定していた屈折と異なることにつながります。
・硝子体脱出
上記のチン氏帯断裂や水晶体脱臼などがおきると、水晶体の後ろの硝子体が前に飛び出て、傷口に嵌頓したり、眼内レンズを前に押し出そうとしたりして予定していたレンズの位置に固定することが難しくなります。
・水晶体核・皮質落下
後嚢破損やチン氏帯断裂が起きると、水晶体の破片が硝子体側に落ちてしまい、追加処理が必要になります。
・眼内レンズ偏移、眼内レンズ破損
術中合併症が起きることで、眼内レンズが予定していた位置とずれてしまったり、傾いてしまったりすることです。また器械や眼内レンズの不良品であることにより眼内レンズが眼内に入った後に、レンズが破損していたり、レンズの足が折れていたりする場合には、術中に取り出しが必要になる場合があります。
・前房出血
もともと血液をサラサラにするお薬を飲まれている方や、糖尿病、高血圧症、透析中の方、虹彩ルベオーシスのある方などは、術中に器械が虹彩に触れたり、虹彩を吸引することで前房内に出血し、術後見づらくなる方がいます。
・駆逐性出血
手術では眼球に水を流しながら行いますので、眼球の圧は出来るだけ保つようにしていますが、器具を抜いたりした拍子に眼球の内圧が減ります。急激に減った時に、糖尿病のある方、強い動脈硬化のある方、出血性疾患のある方や、強度近視で網膜の荒廃した方、ご高齢の方、創口が大きい方の場合、目の奥の血管が破綻して大量に出血することがあります。
・術中虹彩緊張低下症候群
前立腺肥大症治療薬のα1-ブロッカーを服用中あるいは過去に服用したことのある患者さんの術中に起きることが報告されています。術中に虹彩がふにゃふにゃになり、手術中の水流によってうねったり、バタバタ動いたり、術中に同行が小さくなり視野が確保されない為、手術が非常に難しくなったり、手術時間もそれだけ長くかかり合併症が起きやすくなります。
≪術後合併症≫
・術後高眼圧、低眼圧
術中に使用した粘弾性物質というものが眼内に残存したり、目の中の炎症が強く出たりすることで、術後一過性に眼圧が上昇したりすることがあります。また、創口がしっかりと接着していないと、眼の中から房水が漏出し、低眼圧になるため眼帯で圧迫したり、追加縫合を行ったりして対応します。
・角膜上皮障害
術前に用いる点眼薬や術中に使用する点眼麻酔薬の副作用により角膜上皮障害が出たりすることがあり、修復のために術後にヒアルロン酸の点眼薬や軟膏の治療を追加する場合があります。
・術後創部閉鎖不全
創部接着不良や創部の熱傷により創部閉鎖不全が起きると、細菌に感染しやすくなったり低眼圧に伴う合併症が起きたりするので創部が接着するまで眼帯で圧迫したり、外来処置室で追加縫合をしたりします。
・皮質残存
術中に確認する限りでは取りきれる範囲で水晶体皮質を眼の中から取り除きますが、術後の診察で新たに皮質が残存している場合があります。少々であれば自然吸収を期待できますが、ある程度の量がある場合には再手術をして取り除いた方がいい場合もあります。
・術後眼内炎
術後感染の中で最も重篤な合併症です。現在日本では2000件に1件の割合で起きています。眼内炎には早発性と遅発性の2種類があり、原因としては細菌性や真菌性が挙げられます。早発性は術後2週間以内に起こります。殆どが術後3日から1週間の間に起こります。手術中に傷口から眼の中に強毒菌が侵入して炎症を起こすものです。痛みを伴うことが多く、急激に視力が出なくなります。これが起きた場合に目の中に注射をしたり、硝子体手術という手術を行わなくてはいけません。遅発性は早くても2週間、大抵は数か月後から2年後ぐらいに起こり、弱毒菌が原因です。早発性の場合は再手術を行う場合、眼内レンズを取り除かなければならないケースが多く、眼内炎に対する硝子体手術を行っても視力の回復は難しいことが多いようです。そのために術後眼内炎が起きないように汚い手で触ったり、汗や水が眼の中に入らないように注意してください。
・角膜内皮障害、デスメ膜皺襞 、水泡性角膜症
通常の白内障手術の場合、超音波を使って白内障を砕きながら手術を行いますが、白内障が進んでいると、その核片が術中に角膜内皮面に強く接触し、角膜内皮細胞が減少してしまったり、デスメ膜という基底膜に皺を寄せてしまい術後の視力低下を招きます。また、もともとの角膜内皮の数が少なかったり内皮細胞の大きさに大小不同がある方は、術後に予想もしないほど内皮細胞が減少してしまう方がいます。あまりにも内皮細胞の数が減ってしまうと、水泡性角膜症を発症し角膜の透明性が保てなくなり視力低下をきたす場合があり、充当な場合には角膜移植が必要になる場合があります。
・眼内レンズの偏移、落下
眼内レンズを嚢内に固定し、順調な経過をたどっていた方が外傷や外傷の影響がなくても突然見づらくなったりする場合があり、この原因として眼内レンズが偏位してたり落下している場合が挙げられます。外傷などにより眼内レンズを吊っている組織がちぎれたり、レンズの片足だけが虹彩の前に飛び出したりすることでレンズの位置がずれて視力が出なくなり、処置や手術が必要になります。
・前嚢収縮
網膜色素変性症の方や落屑症候群の方やブドウ膜炎の既往のある方などは手術で作成した連続環状前嚢切開のラインが経過とともに収縮し多くの場合には視力に影響することが少ないのですが、収縮することで視機能に影響を及ぼす場合にはレーザー処置などが必要になる場合があります。
・後発白内障
白内障手術が終わり順調な経過をたどっている方が、徐々にすりガラス状に見えてくることがあり、後発白内障を併発している方がいます。早くて2~3週間、遅い方で数年後に気づかれる方もいます。治療法としてはヤグレーザーというレーザーを使用して手術中に残した後嚢の中央に穴を開ける処置を外来で行います。
・瞳孔異常(変形、偏位、癒着)
手術中に器械で虹彩を吸引したり、術後の炎症が強く出た方は、虹彩が眼内レンズと癒着したりすることで術後に散瞳しにくくなったり瞳孔が変形した形になったりします。
・嚢胞様黄斑浮腫
白内障手術後に網膜の黄斑部という部位に浮腫が起こり、網膜が厚くなり視力が落ちてしまうことがあります。糖尿病の方や術中に破嚢が起きた方などに見受けられます。術中に後嚢が破れ硝子体が脱出してしまったりすると、眼内に慢性炎症が生じ、それが原因で起こることがあります。起きた場合には、ケナコルト(ステロイド剤)のテノン嚢(結膜と強膜の間の薄い膜)下注射を行ったり、ステロイド剤の内服治療を行ったります。
・術後網膜剥離
術後の網膜剥離は現在の超音波法になってから1%以下に減っていますが依然として起こりうる合併症です。特に若年の患者さんの場合、後部硝子体剥離の起こっていない患者さんに手術を行うことで術中に硝子体剥離が惹起され、網膜に脆弱部位や変性巣などがあると、網膜に孔があき、網膜剥離を起こしてしまうという事態が生じ得ます。
・術後屈折誤差
術前におおよその目安として、術後の見え方のピントの位置を我々の方で2種類の器械を用いて予測し、眼内レンズの度数を計測しておりますが、強度近視や短眼軸の方、白内障の濁りが強い方や、眼底に病気があり黄斑部に浮腫や漿液性剥離のある方は、予測値と大幅にずれた度数となる方がいます。眼鏡で矯正できないほどの度数にずれのある方は、コンタクトレンズで代用したり、再手術を行って眼内レンズを入れ替える方もいますが、再手術のリスクはそれなりに高くなってしまいます。
・術後乱視
傷口の接着が悪く、傷口を縫う必要が出た場合に縫ったことで乱視が強く出ることがあります。また眼内レンズが予定していた位置とずれてレンズが傾くことで乱視が出てしまう場合があります。必要に応じて処置を追加しま
3.当院での白内障手術
当院での白内障手術について
1.日帰りの手術となります。
- 通院のできる方
- 内科または、かかりつけ医師の許可が得られる方
- 家族の協力が得られ易い方

2.日帰り手術だが通院は必要となります。
術前検査
視力、眼圧、屈折、グレアー(屋外視力)、眼底検査、細隙灯顕微鏡検査、角膜内皮細胞検査、ERG(網膜電位図) 血液検査、尿検査、角膜形状解析検査、問診、血圧、その他
手術一週間前の月曜日(眼軸長検査)
手術前前日の手術説明
手術当日
白内障手術の流れ
現在ほとんどの場合切開部分が小さい、水晶体超音波乳化吸引術ですが進行している場合は、水晶体嚢外摘出術(すいしょうたいのうがいてきしゅつじゅつ)を行います。
1.水晶体前嚢(ぜんのう)の切開

2.水晶体の中身の乳化吸収

3.眼内レンズの挿入

4.眼内レンズの固定

※眼内レンズ
手術で濁った水晶体を取り除くと、光が透過するようになります。
水晶体の代わりに人工のレンズ(眼内レンズ)を白内障手術と同時に挿入します。
眼内レンズは本物の水晶体と違って焦点は常に一定に固定されたままですので、メガネが必要になります。
※遠くも近くもメガネなしで見れるわけではありません。
手術前後通院スケジュール
手術予約をされてから手術までに、3~4回程度診察に来院して頂きます。

※手術後は、2週間後→3週間後と間隔があいていきます。
※あくまでも順調に経過した場合の例で、術後の経過により多少診察日の間隔には変更がございます。
※手術後1年間は、定期的な診察が必要となります。経過を見る為にも手術後→2年→3年と何回か診察が必要となります。
手術時間と費用
○手術時間○
・超音波乳化吸引術 10分~15分
・水晶体嚢外摘出術 40分程度
※来院から帰るまでは2時間~3時間くらいです。
○手術費用○
・1割負担 約20,000円位
・2割負担 約40,000円位
・3割負担 約60,000円位
※手術費用は、処方箋・再診料・保護メガネ代込み、翌日のお支払いになります。
手術実績
